最近牙齿有点不舒服,是不是蛀牙了呢?别急,今天就来给你详细说说蛀牙怎么补牙齿,还有那些超实用的视频教程,让你在家也能轻松学习!
蛀牙的“罪魁祸首”

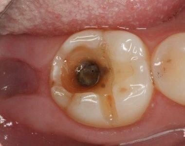
你知道吗,蛀牙其实是一种常见的口腔疾病,主要是因为牙齿表面的小洞洞被细菌侵蚀导致的。这些细菌喜欢在牙齿的窝沟、裂隙里安家,一旦食物残渣滞留,它们就会大快朵颐,产生酸性物质,慢慢腐蚀牙齿。
补牙前的准备

首先,你得确认自己是不是真的蛀牙了。如果牙齿疼痛、敏感,或者发现牙齿上有小黑点,那很可能就是蛀牙了。这时候,赶紧去看牙医吧!
在补牙之前,牙医会先给你做口腔检查,确定蛀牙的程度。如果蛀牙比较浅,可能只需要填充;如果蛀牙比较深,可能需要做根管治疗。
补牙的过程

补牙的过程其实并不复杂,下面就来详细说说:
1. 局部麻醉:为了让你不感到疼痛,牙医会先给你打麻药。
2. 去除腐质:牙医会用专门的工具将蛀牙部分清理干净。
3. 填充材料:根据蛀牙的大小和位置,牙医会选择合适的填充材料,比如树脂、玻璃离子等。
4. 固化材料:填充材料固化后,牙医会进行抛光处理,让你的牙齿恢复光滑。
补牙后的注意事项
补牙后,你需要注意以下几点:
1. 避免冷热刺激:补牙后的24小时内,牙齿可能会有些敏感,尽量避免冷热刺激。
2. 保持口腔卫生:每天早晚刷牙,饭后漱口,保持口腔清洁。
3. 定期复查:补牙后,要定期复查,确保牙齿恢复良好。
蛀牙补牙视频教程
现在网络这么发达,很多牙医都会分享自己的补牙视频教程。以下是一些受欢迎的补牙视频教程,你可以参考一下:
1. “补牙全过程,让你一看就懂”:这个视频详细介绍了补牙的整个过程,包括麻醉、去除腐质、填充材料等。
2. “在家也能补牙?这个方法太实用了!”:这个视频教你如何在家进行简单的补牙操作,但请注意,这种方法只适用于轻微的蛀牙。
3. “补牙后注意事项,这些你一定要知道!”:这个视频介绍了补牙后的注意事项,帮助你更好地恢复。
通过这些视频教程,你不仅可以了解补牙的过程,还能学习到一些实用的口腔保健知识。记得,爱护牙齿,从现在开始!














